Lichens.Québec

Lichens, champignons lichénicoles et champignons associés du Québec, v.2.5
Exemple PHP avec CSS

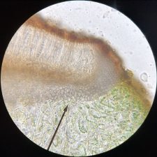
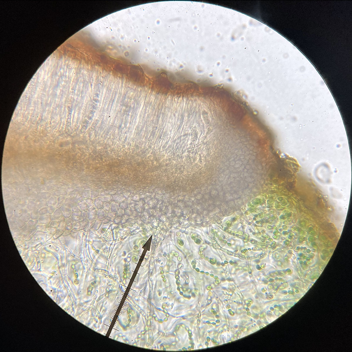
Lathagrium undulatum (Laurer ex Flotow) Otálora, P.M. Jørg. & Wedin

Collème ondulée
Exemple PHP avec CSS

Classification:

Ascomycota > Pezizomycotina > Lecanoromycetes > Lecanoromycetidae > Peltigerales > Collemataceae

Exemple PHP avec CSS

Synonyme(s) :

Collema undulatum Laurer ex Flotow; Collema undulatum var. granulosum Degel.; Collema undulatum var. undulatum Laurer ex Flot.; Lathagrium undulatum var. granulosum (Degel.) M. Schultz & McCune; Lathagrium undulatum var. undulatum (Laurer ex Flot.) Poetsch
Exemple PHP avec UTF-8

Type :

Lichen foliacé

Photobionte :

Cyanobactérie filamenteuse

Reproduction :

principalement asexuée (isidies, schizidies, etc.)

Substrat :

Rochers

Exemple PHP avec CSS

Rang de conservation mondial :

G5 - En sécurité

Exemple PHP avec CSS

Rang de conservation au Canada : N3N5 - Pas de rang

Affichage de la Source Justificatrice

Spécimen de référence :

R.C. Harris 61615 [NY]; identifié par R.C. Harris

Affichage des Notes

Notes :

Il existe 2 variétés de ce taxon : granulosum et undulatum. Les deux sont présentes au Québec. L'espèce est également connue sous le nom de Lathagrium undulatum (Laurer ex Flot.) Poetsch.

Liens externes
lathagrium-undulatum
Légende de la carte